La adolescencia es una etapa de cambios constantes, y la sonrisa juega un papel fundamental en la seguridad y autoestima de los chicos y chicas. En la Clínica Dental Guillermo López, situada en el corazón de Murcia, sabemos que la decisión de iniciar un tratamiento de ortodoncia no siempre es sencilla.
¿Es el momento adecuado? ¿Qué tipo de brackets son mejores? ¿Cómo afectará a su día a día? En este artículo, desglosamos todo lo que necesitas saber sobre la ortodoncia con brackets para adolescentes.
1. ¿Por qué la adolescencia es la «edad de oro» de la ortodoncia?
A menudo nos preguntan en consulta por qué no esperar a que el paciente sea adulto. La respuesta técnica es el crecimiento óseo.
Durante la adolescencia (generalmente entre los 11 y 16 años), el cuerpo está en pleno desarrollo. Los huesos maxilares son más maleables, lo que nos permite:
- Corregir la estructura ósea: No solo movemos dientes, sino que podemos influir en cómo encajan el maxilar superior y la mandíbula.
- Acortar tiempos: Un movimiento que en un adulto podría tardar 24 meses, en un adolescente puede resolverse en 18 gracias a la velocidad de remodelación del hueso.
- Espacio para piezas definitivas: Si todavía queda algún diente por salir, los brackets pueden «reservarle» el hueco exacto, evitando cirugías futuras por dientes impactados.

2. Tipos de Brackets: Entre la eficacia y la estética
En nuestra clínica de Murcia, entendemos que cada adolescente es un mundo. Algunos quieren que sus brackets se vean y otros prefieren que pasen desapercibidos.
Brackets Metálicos (La opción clásica y robusta)
Son los más resistentes y económicos. Hoy en día son mucho más pequeños y cómodos que hace una década.
El toque divertido: Muchos de nuestros pacientes en Murcia eligen personalizar sus brackets con «ligaduras» (gomas) de colores en cada revisión. ¡Es una forma de hacer el proceso más ameno!
Brackets de Zafiro o Cerámica (La opción discreta)
Si a tu hijo/a le preocupa mucho su imagen social, los brackets de cristal de zafiro son la solución ideal. Son transparentes, no se tiñen con el tiempo y pasan prácticamente inadvertidos a media distancia.
Brackets de Autoligado (Sistema Damon o similar)
Este sistema no utiliza gomas para sujetar el arco, sino una «pestaña» integrada. Esto reduce la fricción, lo que a menudo se traduce en:
- Citas de revisión más rápidas.
- Menor acumulación de placa bacteriana.
- Tratamientos ligeramente más confortables.

3. ¿Duele ponerse brackets? Desmitificando el proceso
Es la mayor preocupación de los jóvenes. La realidad es que el proceso de colocación no duele en absoluto, ya que los brackets se cementan sobre la superficie del diente sin necesidad de anestesia ni pinchazos.
Durante los primeros días tras el ajuste, es normal sentir una sensación de presión o una ligera molestia al masticar. En la Clínica Guillermo López, realizamos un seguimiento cercano y proporcionamos ceras especiales y pautas analgésicas para que esa fase de adaptación sea lo más breve posible.
4. La Tecnología que marca la diferencia en nuestra Clínica de Murcia
En la Clínica Dental Guillermo López, no trabajamos «a ojo». La precisión es nuestra seña de identidad:
- Escaneado Digital Intraoral: Hemos sustituido las incómodas pastas de impresión por un escáner 3D. Obtenemos una réplica exacta de la boca del adolescente en segundos.
- Radiología de Alta Precisión: Contamos con equipos de última generación para ver las raíces y el hueso con una radiación mínima, garantizando la seguridad del paciente.
- Planificación Virtual: Diseñamos el camino hacia la sonrisa perfecta antes incluso de colocar el primer bracket.

5. El compromiso del adolescente: Un trabajo en equipo
Para que el tratamiento en Murcia sea un éxito y no se alargue más de lo previsto, el paciente debe comprometerse con tres pilares:
- Higiene Oral: Los brackets facilitan que se retenga comida. Enseñamos a cada chico/a técnicas de cepillado específicas y el uso de seda dental especial.
- Cuidado con la dieta: Recomendamos evitar alimentos excesivamente duros (como turrón duro o kikos) o pegajosos (chicles, caramelos masticables) que puedan desprender los brackets.
- Uso de elásticos: Si el plan incluye gomas intermaxilares, su uso constante es la diferencia entre terminar a tiempo o retrasarse meses.
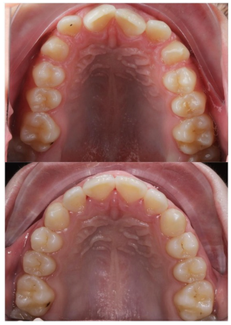
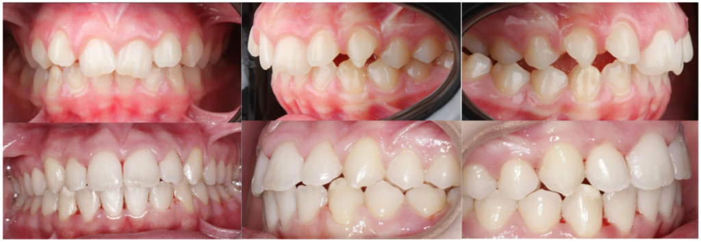
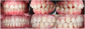
Conclusión: Una inversión para toda la vida
Una boca alineada no es solo una cuestión de estética; es una cuestión de salud. Unos dientes bien posicionados sufren menos desgaste, se limpian mejor y evitan dolores de mandíbula y cuello en el futuro.
En la Clínica Dental Guillermo López, nos apasiona ver la transformación de nuestros pacientes adolescentes en Murcia, no solo en su sonrisa, sino en la confianza con la que salen por la puerta al finalizar el tratamiento.


