
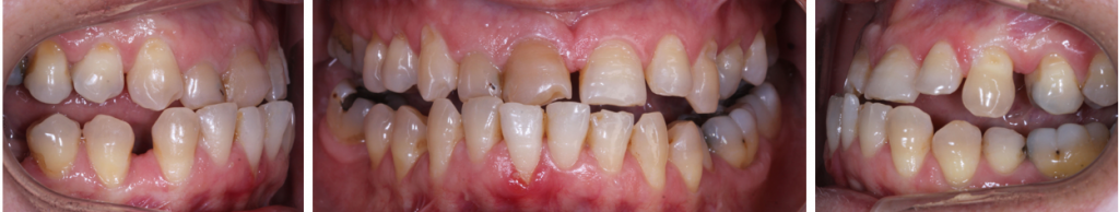
En este artículo presentamos un caso clínico real tratado en Clínica Dental Dr. Guillermo López (Murcia). Se trata de una paciente que acudió a nuestra consulta preocupada por su estética facial, dificultades al morder y molestias recurrentes en la articulación temporomandibular (ATM). Tras un estudio completo, diagnosticamos una maloclusión Clase III esquelética, con mandíbula adelantada, mordida cruzada anterior y desequilibrios funcionales asociados.
Este tipo de casos requieren una valoración precisa y un enfoque multidisciplinar para corregir simultáneamente la función, la oclusión y la estética.
Diagnóstico inicial
Durante la primera visita realizamos:
- Escáner intraoral en 3D
- Fotografías extraorales e intraorales
- TAC para evaluar relaciones óseas y articulación temporomandibular
- Análisis digital de la oclusión y de la sonrisa
Los resultados mostraron:
- Clase III esquelética con posición mandibular adelantada
- Mordida cruzada anterior
- Desgaste dental asociado
- Episodios de dolor en la ATM debido a la descompensación funcional
- Ausencia de piezas dentales que comprometían la estabilidad oclusal

Fase inicial: Férula de descarga para estabilizar la ATM
Durante los primeros 3 meses, la paciente utilizó una férula de descarga rígida, diseñada digitalmente para:
- Desinflamar y relajar musculatura masticatoria.
- Disminuir el dolor articular y las limitaciones funcionales.
- Descargar las articulaciones y permitir un movimiento condilar más fisiológico.
- Identificar la posición mandibular estable, libre de compensaciones musculares.
El uso continuado de la férula nos permitió observar cómo se recolocaba la articulación de manera natural y evaluar los cambios clínicos en la oclusión sin interferencias musculares. Esta fase diagnóstica fue fundamental para planificar un tratamiento ortodóncico predictible y seguro.
Tras la estabilización:
Se definió una nueva posición mandibular de referencia, que guió toda la planificación posterior.
El dolor de ATM disminuyó de forma notable.
La apertura y movilidad mejoraron.

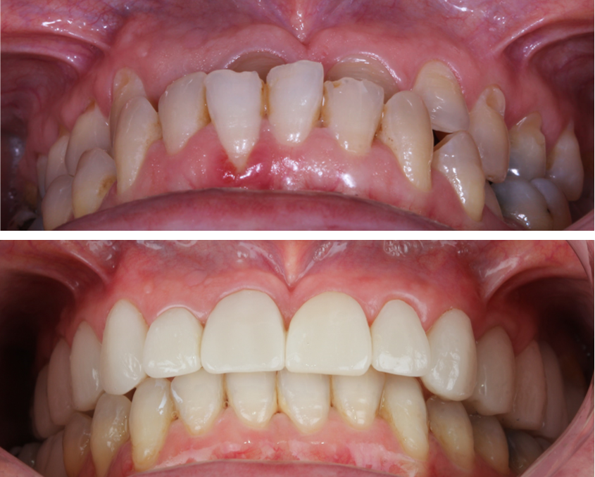
Tratamiento ortodóncico: alineadores + brackets
Con la ATM estabilizada y un diagnóstico claro, iniciamos el tratamiento ortodóncico siguiendo un enfoque híbrido:
- Alineadores transparentes
- Control estético durante los primeros meses
- Movimientos progresivos y descompensación inicial
- Brackets de baja fricción
- Corrección fina de la mordida cruzada
- Control tridimensional y ajuste oclusal final
Este sistema combinado nos permitió conseguir una oclusión funcional y estable, respetando la nueva posición mandibular obtenida tras la férula.

Rehabilitación implantológica
Una vez alineadas las arcadas y establecida la función, llevamos a cabo la reposición de ausencias dentales mediante implantes guiados digitalmente. Este paso devolvió el soporte posterior necesario y garantizó la estabilidad oclusal a largo plazo.
Restauración estética con carillas dentales
El caso se completó con carillas cerámicas, diseñadas de forma digital para armonizar la sonrisa y mejorar proporciones, color y alineación del sector anterior.
Un enfoque mínimamente invasivo permitió preservar el máximo de estructura dental.





