En nuestra clínica dental en Murcia, recibimos con frecuencia casos complejos que requieren una planificación detallada y el uso de tecnología avanzada para conseguir los mejores resultados. Hoy queremos compartir un caso clínico muy interesante y representativo del tipo de tratamientos que realizamos: la resolución de un canino incluido en el paladar mediante cirugía y ortodoncia.
¿Qué es un canino incluido?
Un canino incluido es un diente que no ha erupcionado correctamente en la boca y permanece retenido dentro del hueso, en muchas ocasiones en una posición anómala. Este problema es más común en los caninos superiores, que pueden quedar atrapados en el paladar debido a falta de espacio, alteraciones en el desarrollo o apiñamiento dental severo.
Detectarlo a tiempo es fundamental para evitar complicaciones como la reabsorción de raíces de dientes vecinos, quistes o incluso la necesidad de extracción e implantes en el futuro.
Diagnóstico mediante TAC 3D
Nuestra paciente, una joven de Murcia, acudió a la clínica con el objetivo de mejorar la estética de su sonrisa mediante ortodoncia. Al realizar el estudio inicial, que incluía fotografías clínicas, modelos digitales y un escáner 3D (TAC), descubrimos que tenía un canino incluido en el paladar, además de un apiñamiento dental severo tanto en la arcada superior como en la inferior.
Gracias al TAC 3D, pudimos ver con total precisión la posición del colmillo retenido, su orientación y su relación con los dientes adyacentes. Esta información fue clave para planificar el tratamiento de forma segura y eficaz.
Plan de tratamiento: ortodoncia y cirugía
Dado el nivel de apiñamiento y la posición del canino, era evidente que no había espacio suficiente para que el diente incluido pudiera salir de forma natural. Por ello, optamos por un plan de tratamiento combinado que incluía:
- Extracción de cuatro premolares (dos superiores y dos inferiores): para ganar el espacio necesario y poder alinear correctamente todos los dientes, incluyendo el canino retenido.
- Cirugía para traccionar el canino incluido: mediante un procedimiento quirúrgico mínimamente invasivo, accedimos al colmillo dentro del paladar y colocamos un bracket con una cadena elástica para empezar su tracción progresiva hacia la arcada.
- Ortodoncia completa con brackets metálicos: para alinear todos los dientes, corregir el apiñamiento y guiar el canino a su posición ideal.
Proceso de tracción y alineación
Una vez realizada la cirugía, comenzamos la tracción del canino incluido de manera controlada. Este proceso puede durar varios meses, ya que el diente debe moverse poco a poco para evitar dañar las raíces vecinas o provocar reabsorciones.
Durante todo el tratamiento, hicimos un seguimiento clínico y radiográfico riguroso, ajustando la fuerza de tracción y coordinando el movimiento de los dientes con los arcos ortodóncicos.
Poco a poco, el canino fue saliendo del paladar y colocándose en su posición natural, reemplazando al diente de leche que aún conservaba la paciente.
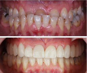
Resultado final: función y estética en armonía
Gracias a un enfoque multidisciplinar y al uso de tecnología avanzada, conseguimos colocar el canino en su lugar adecuado sin necesidad de extraerlo ni sustituirlo por un implante. La paciente terminó su tratamiento con una sonrisa armónica, funcional y completamente natural.
Este caso demuestra la importancia de realizar un diagnóstico completo desde el inicio y de contar con un equipo con experiencia en ortodoncia compleja en Murcia.
La importancia de acudir a un ortodoncista especializado
No todos los casos de ortodoncia son iguales. Cuando hay dientes incluidos, malposiciones severas o discrepancias óseas, es esencial que el tratamiento sea realizado por un profesional con formación y experiencia específica en este tipo de patologías.
En la Clínica Dental Dr. Guillermo López, situada en Murcia, contamos con escáner 3D, técnicas quirúrgicas avanzadas y un equipo interdisciplinar que trabaja para ofrecer siempre las mejores soluciones a nuestros pacientes.
El tratamiento de un canino incluido en el paladar puede parecer complejo, pero con una planificación adecuada y los recursos tecnológicos adecuados, se pueden obtener resultados excelentes, evitando soluciones más agresivas como extracciones o implantes.
Si vives en Murcia y sospechas que tú o tu hijo podéis tener un diente incluido, o si simplemente deseas mejorar tu sonrisa, no dudes en consultarnos. El diagnóstico precoz es clave para un tratamiento eficaz y mínimamente invasivo.


